Ultrassonografia 3D no diagnóstico ginecológico: um olhar mais profundo e preciso

05/07/2025 às 13:56:33

Ultrassonografia 3D no diagnóstico ginecológico: um olhar mais profundo e preciso

A ultrassonografia em três dimensões (3D) revolucionou a forma como avaliamos o útero e seu interior. Sua capacidade de gerar imagens volumétricas permite uma análise detalhada da cavidade endometrial, com cortes multiplanares que ampliam nossa percepção anatômica e funcional.

 - Patologias endometriais, como pólipos, miomas submucosos, sinéquias e malformações uterinas, podem ser visualizadas com mais clareza na ultrassonografia 3D, facilitando o diagnóstico precoce e contribuindo para o planejamento terapêutico mais eficaz.
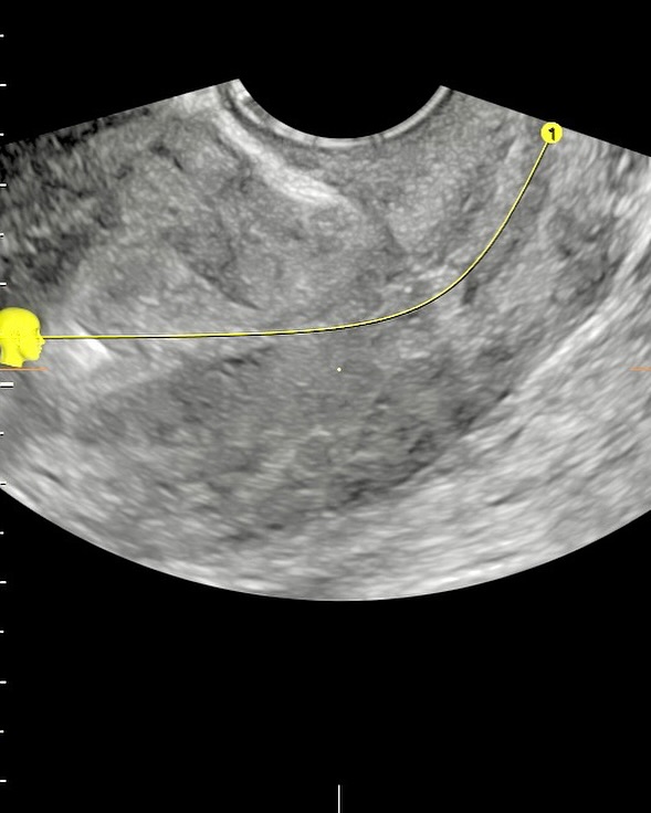
 -  Quando falamos em dispositivo intrauterino (DIU), a avaliação 3D é especialmente útil. A reconstrução volumétrica permite verificar com precisão o posicionamento do DIU, identificando deslocamentos, inserções parciais ou até perfurações, muitas vezes imperceptíveis em exames bidimensionais convencionais.

 Em resumo, o uso da ultrassonografia 3D não é apenas um avanço tecnológico — é uma ferramenta que melhora a segurança, a eficácia e a qualidade do cuidado ginecológico.

 A medicina de imagem está em constante evolução. E quem ganha com isso são as pacientes, com diagnósticos mais assertivos e condutas cada vez mais individualizadas.

 

Clínica Brandão
 Ginecologia, Obstetrícia e Pediatria
 Dr. Rodrigo Brandão –
 CRM 25174 RQE 17277
 Dra. Raiane Brandão – CRM 36183 / RQE 27564

 

 (77)  99997 - 8900
Rua Marechal Hermes, 707 - Salas 3-4, Primavera
Barreiras - BA